NOTÍCIAS

Entrevistas, matérias e mais

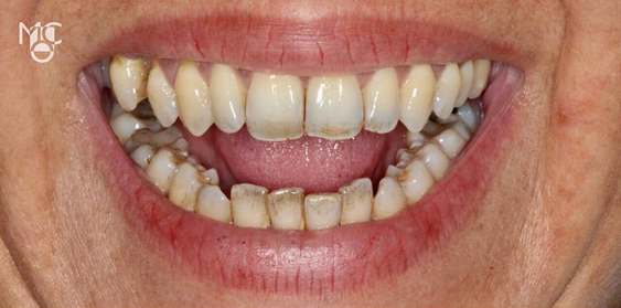
Por que os dentes escurecem com o tempo?

Por que os dentes escurecem com o tempo?

Com o passar dos anos, é comum que os dentes escureçam. São vários fatores que influenciam a alteração de cor do sorriso, por isso compartilho informações sobre o porquê dos dentes escurecerem e o que você pode fazer para cuidar do seu sorriso, evitando que aconteça de maneira precoce, além de orientar tratamentos que ajudam na recuperação da cor.

 

ESTRUTURA DENTÁRIA

Os dentes são formados por 3 estruturas: a polpa (camada interna), a dentina (camada intermediária) e o esmalte (camada externa). A responsável pela coloração dentária é a dentina que pode escurecer por conta de desgastes na parte externa ou envelhecimento. Com o passar do tempo, o desgaste do esmalte dentário levará à exposição das camadas mais escuras da dentina.

Não pense que apenas esses são os motivos para os dentes escurecerem. Alguns hábitos também influenciam no processo.

 

HÁBITOS QUE INFLUENCIAM A COLORAÇÃO DOS DENTES

. Tabagismo

Pessoas que fumam são mais propensas a ter os dentes escurecidos precocemente. Por conta da nicotina e do alcatrão, substâncias presentes no cigarro, ocorre a pigmentação do esmalte dentário.

 

. Alimentação

Alguns alimentos são ricos em corantes, sejam eles naturais ou artificiais, e proporcionam maior tendência em causar o escurecimento dos dentes. Fique atento a alimentos como chocolate, café, chás, refrigerantes, açaí, beterraba, molhos de tomate industrializado, vinho tinto etc.

 

. Higiene bucal precária

Quando a higiene bucal não é realizada da maneira correta, além de causar diversos problemas bucais, ela também impacta na coloração dos dentes. Ela pode acelerar a pigmentação do dente quando a placa bacteriana e o tártaro não são removidos corretamente.

 

. Traumas

Acidentes e pancadas na boca, quando acertam algum dente, podem provocar hemorragias internas deixando-o com a aparência escurecida.

 

COMO RECUPERAR A COR DOS DENTES?

Na odontologia estética existem diversos tratamentos para cuidar da aparência dos dentes. Antes de você decidir qual é o melhor tratamento para o seu sorriso, é preciso passar por uma avaliação de um profissional para ver como anda a sua saúde bucal e se o tratamento desejado vai atender as suas expectativas.

Geralmente, a indicação de profilaxia, clareamento dental, lentes de contato dental e facetas dentárias são as mais comuns. Aqui em meu blog já comentei sobre o clareamento dental e as lentes de contato dental, portanto se quiser conhecer um pouco mais, clique nos links a seguir:

Clareamento dental: tratamento que transforma o seu sorriso

Lentes de contato dental: melhorias para os dentes que vão além da estética

 

O MELHOR PARA O SEU SORRISO ESTÁ AQUI!

Em meu consultório conto com alta tecnologia para cuidar dos sorrisos e da aparência dos dentes.

Dentes que escureceram têm reversão. Agende uma avaliação e vamos conversar para ver qual a melhor alternativa para você! Estou atendendo normalmente, seguindo todos os protocolos de segurança e higiene. ❤️

 

Dra. Michele Caldas, especialista em periodontia e implantodontia, Smile designer e membro efetiva da Sociedade Brasileira de Odontologia Estética.

Descubra agora como recuperar o seu sorriso