IMPLANTE

Implantes Dentários

Quando necessário, tecnologia para reabilitar função e autoestima

Na odontologia moderna, nosso objetivo é sempre restabelecer saúde, função, conforto e estética de forma duradoura e personalizada.
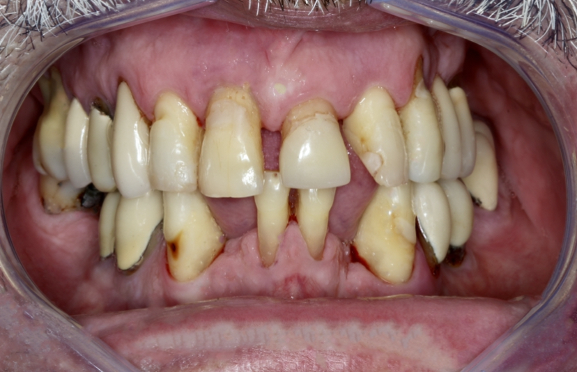
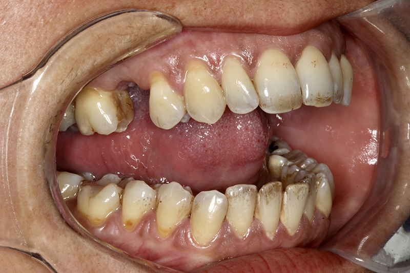
Quando há a perda de um ou mais dentes, os implantes dentários surgem como uma opção segura e eficaz para devolver a mastigação, a fala e a harmonia do sorriso.



O que são implantes?

Os implantes são pinos de titânio colocados no osso, que substituem a raiz do dente perdido. Sobre eles, é fixada uma prótese que imita a cor, forma e função dos dentes naturais.



Quando indicamos?

Realizamos implantes quando são indicados dentro de um plano de tratamento mais amplo, principalmente em casos de:

  • Perda de dentes isolados
  • Espaços que comprometem a estética ou a função mastigatória
  • Necessidade de reabilitação oral parcial

Nosso compromisso é sempre oferecer o tratamento mais adequado para cada caso, com base em avaliação clínica e integrativa.



Benefícios dos implantes

✔ Reabilitação da mastigação
✔ Melhora da dicção e fonação
✔ Estética natural
✔ Estímulo ao osso, prevenindo reabsorção
✔ Maior conforto e segurança em comparação com próteses móveis



Tratamento com previsibilidade e cuidado

Utilizamos técnicas modernas, exames digitais e planejamento integrado com outras especialidades, quando necessário, para garantir previsibilidade, segurança e bem-estar durante todo o processo.

Se você perdeu um dente e precisa de avaliação, entre em contato.
Vamos analisar com calma o melhor caminho para reabilitar sua função e sua confiança ao sorrir

Sono tranquilo é saúde!
Conheça nossos tratamentos
personalizados para melhorar
suas noites.

Engenho de Imagens

Resp. Técnica: Michele Cristina de Caldas da Costa Duba | CRO: 28587-RJ