LENTES DE CONTATO DENTAL

Lentes de Contato Dental

Sintonia perfeita entre estética, saúde e naturalidade

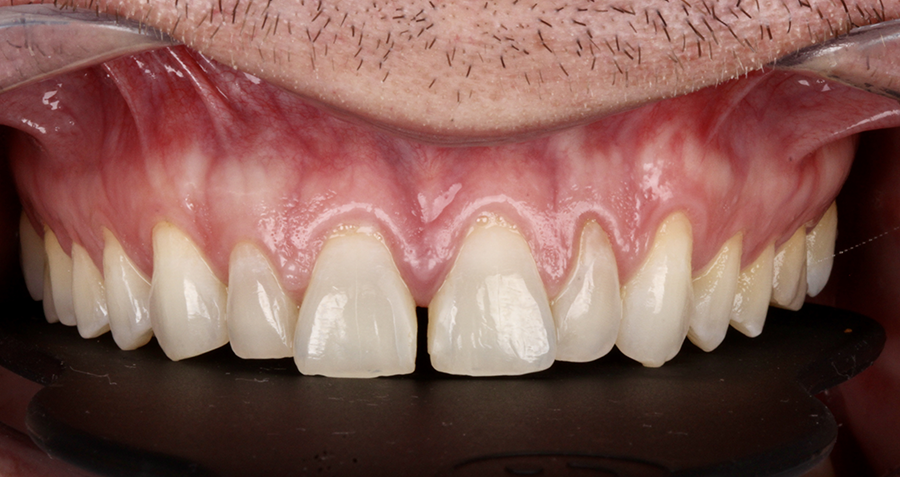
As lentes de contato dental são um dos tratamentos estéticos mais procurados atualmente, e não por acaso.
Trata-se de lâminas ultrafinas de cerâmica aplicadas sobre a superfície dos dentes, que promovem um sorriso harmônico, natural e personalizado, corrigindo pequenas imperfeições com mínimo desgaste dentário.



Indicações mais comuns:

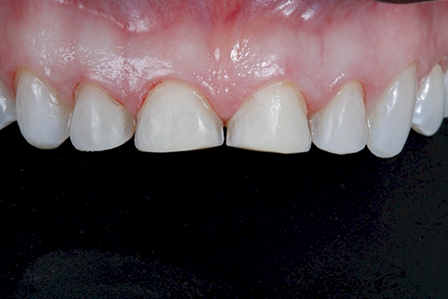
  • Aumento de tamanho ou volume dos dentes
  • Correção de assimetrias
  • Fechamento de diastemas (espaços entre os dentes)
  • Melhora estética em casos de retração gengival
  • Uniformização da forma e contorno dental


Técnica minimamente invasiva

A aplicação das lentes é altamente conservadora:
Se faz necessário um preparo mínimo e seletivo, respeitando a estrutura dentária saudável.



Um planejamento estético completo

Aqui, cada sorriso é único. Por isso, o protocolo de lentes é personalizado e envolve:

✔ Protocolo fotográfico completo
✔ Moldagem ou escaneamento digital
✔ Planejamento estético digital (DSD – Digital Smile Design)
✔ Enceramento diagnóstico
✔ Interação com o técnico em prótese para definição de cor, formato e transparência
✔ Prova estética antes da instalação definitiva

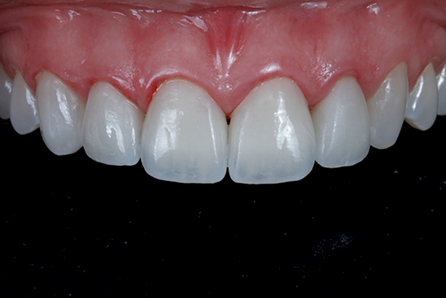
Esse processo garante que o resultado final seja harmônico, funcional e alinhado aos traços do seu rosto e à sua personalidade.



Mais do que estética, confiança

As lentes de contato dental devolvem ao paciente a vontade de sorrir com leveza, segurança e orgulho.
É um procedimento que une tecnologia, arte e cuidado, respeitando a saúde bucal e realçando o que há de mais bonito em cada sorriso.

Sono tranquilo é saúde!
Conheça nossos tratamentos
personalizados para melhorar
suas noites.

Engenho de Imagens

Resp. Técnica: Michele Cristina de Caldas da Costa Duba | CRO: 28587-RJ