REABILITAÇÃO E PRÓTESE

Reabilitação Oral e Prótese

Saúde, função e estética: juntas para devolver qualidade de vida ao seu sorriso

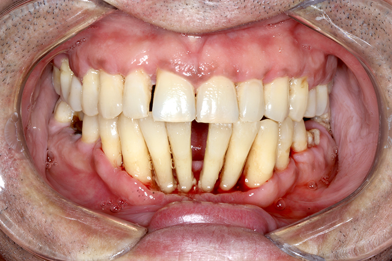
A reabilitação oral vai muito além de repor dentes ausentes. Ela busca restaurar o equilíbrio da mastigação, da fala e da estética facial, devolvendo conforto, segurança e autoestima a quem teve sua saúde bucal comprometida por perdas dentárias, desgastes, má oclusão ou dores musculares.

Reabilitar é devolver função e prevenir novos danos

Muitos pacientes chegam ao consultório com sinais de bruxismo, dores na face, DTM ou dentes desgastados sem saber que esses sintomas podem estar relacionados à má posição dos dentes ou ausência de elementos dentários.

Por isso, a reabilitação oral precisa ser integrada, funcional e personalizada.



Um plano completo, que envolve múltiplas especialidades:

  • Diagnóstico de bruxismo com placa diagnóstica e análise funcional da mordida
  • Planejamento digital do sorriso com escaneamento 3D
  • Ortodontia com Invisalign® para alinhar antes de reabilitar
  • Periodontia para preparar gengiva e tecidos de suporte
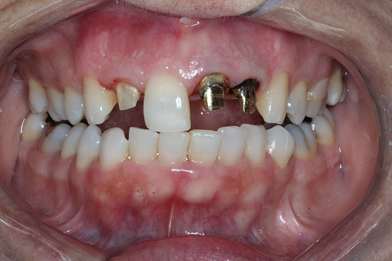
  • Próteses fixas, removíveis ou sobre implantes, devolvendo os dentes perdidos
  • Eletroterapia, laserterapia e microagulhamento, para controle da dor orofacial e relaxamento muscular
  • Acompanhamento da respiração e qualidade do sono (quando necessário)


Reabilitação com visão integrativa

Ao tratar um paciente, olhamos além da boca.
Desgastes precoces, fraturas dentárias, dores na articulação ou ronco noturno podem estar conectados e precisam ser investigados com critério.

Nosso objetivo é tratar a causa, e não apenas o efeito, oferecendo um plano de reabilitação duradouro e funcional, que respeita as particularidades de cada pessoa.



Prótese não é fim, é parte do processo

As próteses (removíveis, fixas ou sobre implantes) são indicadas quando há perdas dentárias. Mas o sucesso do tratamento depende da estrutura que as suporta: gengiva saudável, dentes bem posicionados, musculatura equilibrada e hábitos orais adequados.

Com planejamento preciso e acompanhamento clínico, você recupera:

  • Confiança para sorrir
  • Conforto para mastigar
  • Harmonia estética facial
  • Alívio de dores musculares ou funcionais


Seu sorriso é único. Sua reabilitação também.

Agende uma avaliação completa e entenda como a reabilitação oral, aliada a tecnologia, estética e equilíbrio muscular, pode transformar a sua saúde e o seu bem-estar.

Estamos aqui para cuidar de você como um todo, com ciência, escuta e dedicação.

Sono tranquilo é saúde!
Conheça nossos tratamentos
personalizados para melhorar
suas noites.

Engenho de Imagens

Resp. Técnica: Michele Cristina de Caldas da Costa Duba | CRO: 28587-RJ