NOTÍCIAS

Ansiedade e estresse podem causar a perda dos dentes

por: Michele Caldas Odontologia | 25 de Maio de 2022

Sabemos que a ansiedade e o estresse podem fazer mal para a saúde do corpo, mas você sabia que também pode afetar a qualidade do seu sorriso e ainda contribuir para a queda dos dentes?

COMO O ESTRESSE PODE AFETAR O SORRISO?

Segundo um estudo realizado por pesquisadores da Universidade Estadual de Campinas (Unicamp), ter uma rotina estressante pode resultar em prejuízos para a saúde bucal. Quem é mais estressado ou sofre de ansiedade crônica tem maiores chances de desenvolver doenças bucais que podem resultar até na perda dos dentes.

Isso ocorre porque o cansaço extremo, falta de sono, nervosismo e ansiedade contribuem para a diminuição do fluxo salivar ou provocam o ranger dos dentes durante o dia e à noite, o que pode causar fraturas graves nos dentes.

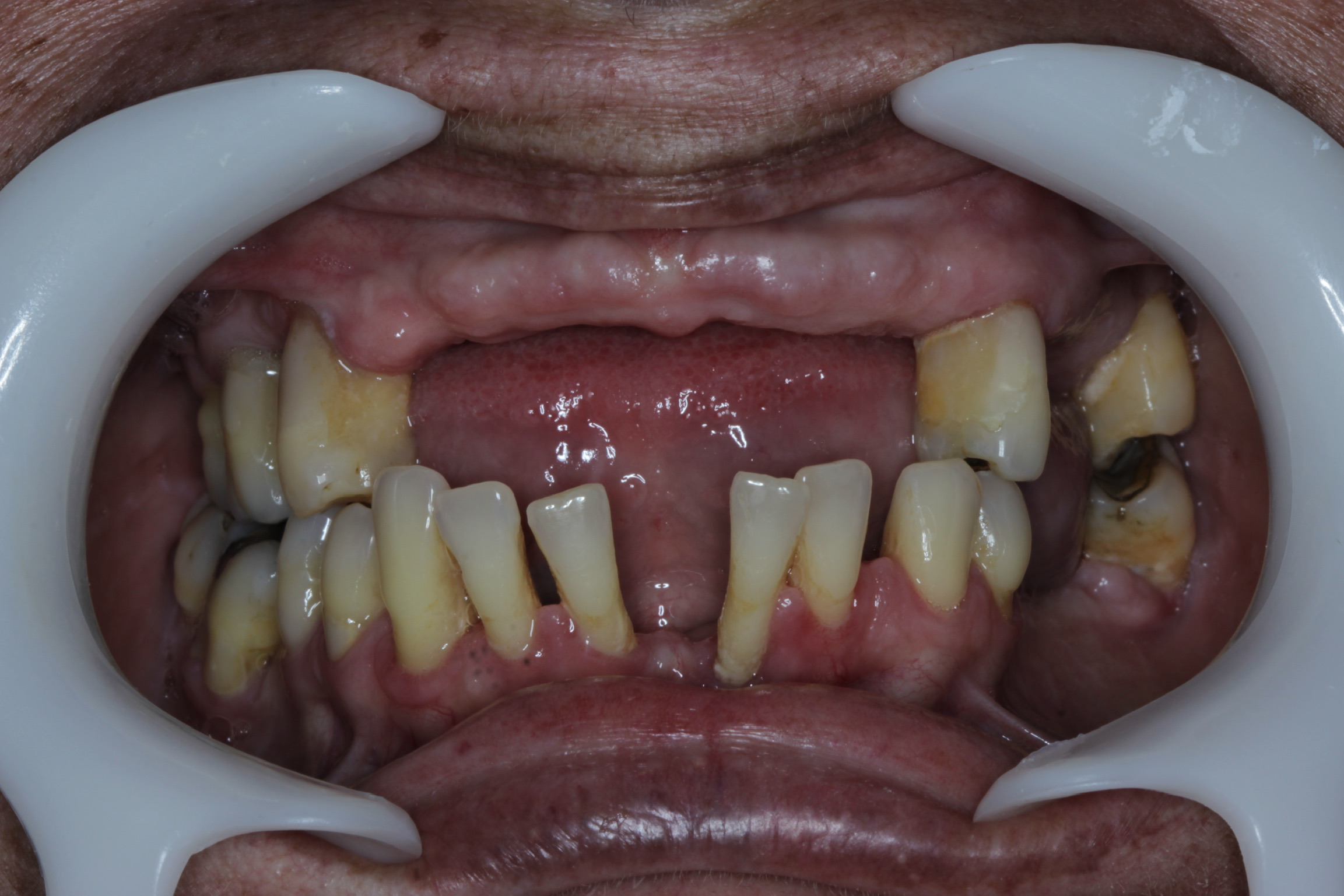
AS PRINCIPAIS DOENÇAS BUCAIS QUE ESTÃO RELACIONADAS AO ESTRESSE

  • O bruxismo é uma doença caracterizada pelo ranger ou forte pressão nos dentes. De acordo com a Organização Mundial da Saúde (OMS) essa doença atinge cerca de 84 milhões de brasileiros;
  • A periodontite consiste em uma inflamação ou infecção crônica que atinge os tecidos que estão ao redor do dente e que o sustenta.

E COMO CUIDAR DO SORRISO DIANTE DESSAS QUESTÕES?

Essas doenças são tratáveis e podem até ser curadas através do diagnóstico precoce. Com a avaliação de um dentista é possível descobrir o estágio da doença e quais serão os procedimentos necessários, variando de paciente para paciente. Em caso de perda dos dentes, a reabilitação por meio do uso de implantes é o mais recomendável.

A QUALIDADE DE VIDA É TRANSMITIDA ATRAVÉS DO SORRISO!

Algumas práticas do dia a dia podem prevenir e aliviar problemas relacionados ao estresse, como por exemplo ter uma boa noite de sono, praticar exercícios físicos pelo menos três vezes por semana, ler um livro ou tomar um banho relaxante antes de dormir e realizar visitas periódicas ao dentista.

MAIS DICAS E CONTEÚDOS EXCLUSIVOS

Acesse meu Instagram. Lá compartilho diariamente diversos conteúdos interessantes para você acompanhar, além de valorizar o que você tem de mais belo: o sorriso.

"O sorriso é o mensageiro das suas boas intenções. Ele revela a sua confiança e passa todo o seu sentimento às pessoas ao redor."

Dra. Michele Caldas, especialista em periodontia e implantodontia, Smile designer e membro efetivam da Sociedade Brasileira de Odontologia Estética.

Sente que dorme mal
ou vive cansado(a)?
Faça uma autoavaliação
e receba orientações iniciais.

Engenho de Imagens

Resp. Técnica: Michele Cristina de Caldas da Costa Duba | CRO: 28587-RJ