NOTÍCIAS

O que é a bolsa periodontal?

por: Michele Caldas Odontologia | 31 de Janeiro de 2022

Para um sorriso bonito e saudável, é preciso ficar atento aos problemas que podem afetar a saúde bucal, como a bolsa periodontal. Você já ouviu falar nela?

Continue lendo e descubra o que é a bolsa periodontal, como é feito o seu diagnóstico, tipos, o tratamento indicado e como prevenir.

 

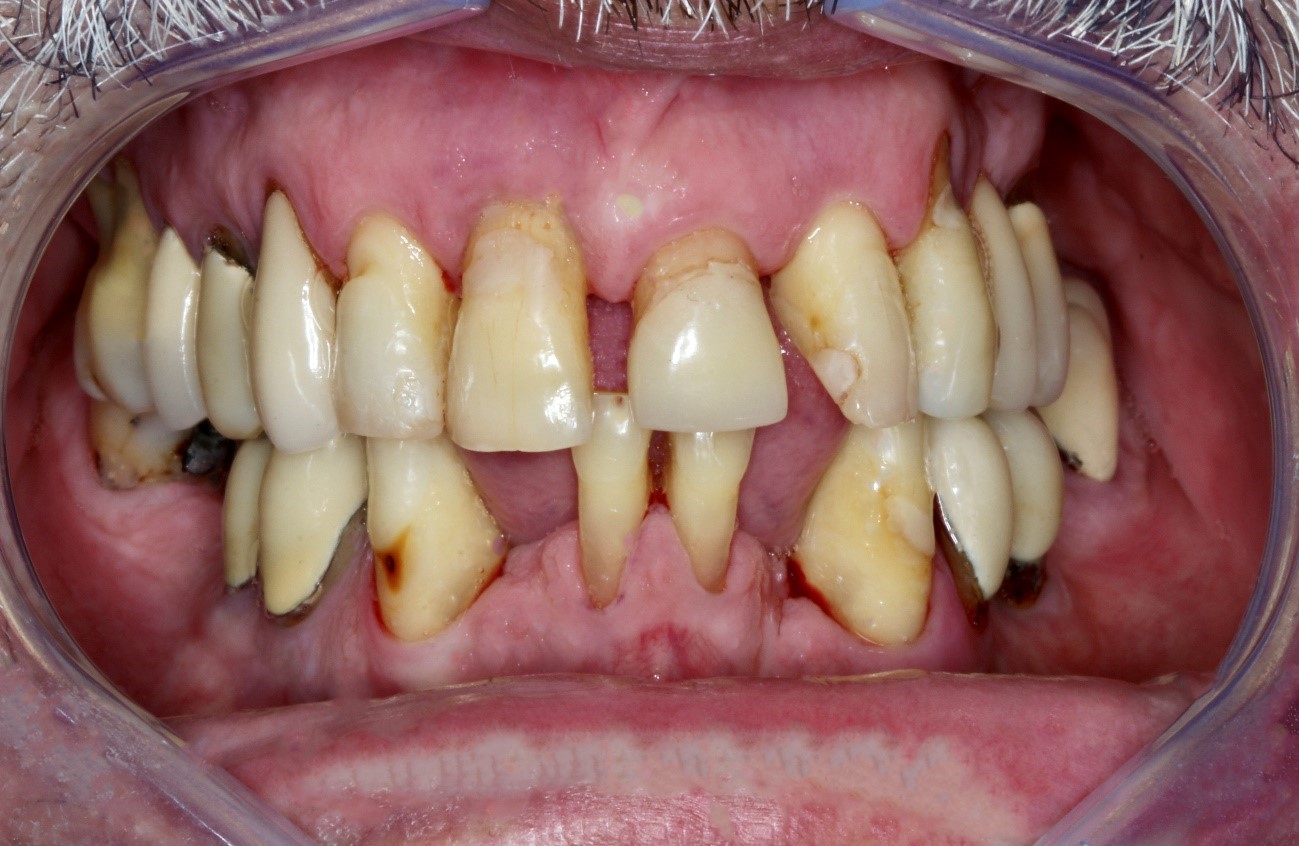
O QUE É A BOLSA PERIODONTAL?

De maneira geral, a bolsa periodontal é caracterizada por um espaço patológico entre a gengiva e o dente, geralmente formado pelo acúmulo de placa bacteriana e tártaro na região.

A doença surge quando há um desequilíbrio entre os microorganismos da boca causado, principalmente, por má higiene. Nesse caso, a bolsa periodontal resulta no rompimento da gengiva e na perda de toda a inserção ao redor do dente (gengiva, ligamento e osso), fazendo com que o dente perca parte dos tecidos que o mantém aderido ao osso.

É uma perda óssea vertical.

 

DIAGNÓSTICO

O diagnóstico deve ser feito por um periodontista, afinal ele é o responsável por cuidar dos problemas que atingem a gengiva, o ligamento periodontal e o osso alveolar. Através de um exame clínico, é introduzida cuidadosamente uma sonda para verificar a profundidade da bolsa periodontal.

Essa sonda permite medir o tamanho do sulco entre a gengiva e o osso. Em bocas saudáveis, o sulco terá no máximo até 3 mm e em casos mais profundos, é caracterizada a bolsa periodontal.

 

TIPOS DE BOLSA PERIODONTAL

O diagnóstico irá indicar qual o tipo de bolsa periodontal presente. Podemos classificá-las como rasas ou profundas. As bolsas periodontais rasas possuem entre 3,5 mm a 5,5 mm e as profundas apresentam 5,5 mm ou mais, aparecendo em pacientes que já estejam com maior perda óssea.

 

QUAL O TRATAMENTO MAIS INDICADO?

A raspagem supra e subgengival é o tratamento recomendado, sendo a única forma de remover o biofilme formado pelas bactérias. Em alguns casos, pode ser necessário associar medicamentos e laserterapia para garantir o reequilíbrio da microbiota oral e restabelecer a saúde dos tecidos gengivais.

Mas, lembre-se: a escolha pode variar de acordo com o estágio de cada caso.

 

COMO PREVENIR?

Assim como a maioria dos problemas bucais, a bolsa periodontal pode ser prevenida através de bons cuidados com a higiene oral. Mas lembre-se de sempre realizar visitas ao dentista a cada seis meses para ver como estão os dentes, as gengivas e a língua.

Caso você seja diagnosticado com a bolsa periodontal, realize as visitas no período indicado pelo profissional de acordo com o seu caso.

 

DICAS, MEU DIA A DIA, CONTEÚDOS EXCLUSIVOS E MUITO MAIS!

Você já me segue no Instagram? Lá compartilho diariamente diversos conteúdos interessantes para você acompanhar e ficar por dentro do universo odontológico, principalmente o do meu consultório. Clique aqui e excelente semana!

 

Dra. Michele Caldas, especialista em periodontia e implantodontia, Smile designer e membro efetiva da Sociedade Brasileira de Odontologia Estética.

Sente que dorme mal
ou vive cansado(a)?
Faça uma autoavaliação
e receba orientações iniciais.

Engenho de Imagens

Resp. Técnica: Michele Cristina de Caldas da Costa Duba | CRO: 28587-RJ